
Paulius Civinskas
Veido ir žandikaulių chirugas

Mūsų komandos specializacija – pilno spektro šypsenos atkūrimas, kuris paremtas ilgamete patirtimi ir nuoširdžiu rūpesčiu jumis.
Kiekvienam pacientui kuriame individualizuotą gydymo planą ir suteikiame visapusišką komfortą procedūrų metu.
Deriname estetiką bei naujausias technologijas, teikiant kompleksines procedūras.
Įvertinus jūsų šypsenos tikslus, klinikoje atliekame implantaciją, protezavimą ir kitus estetinius sprendimus.
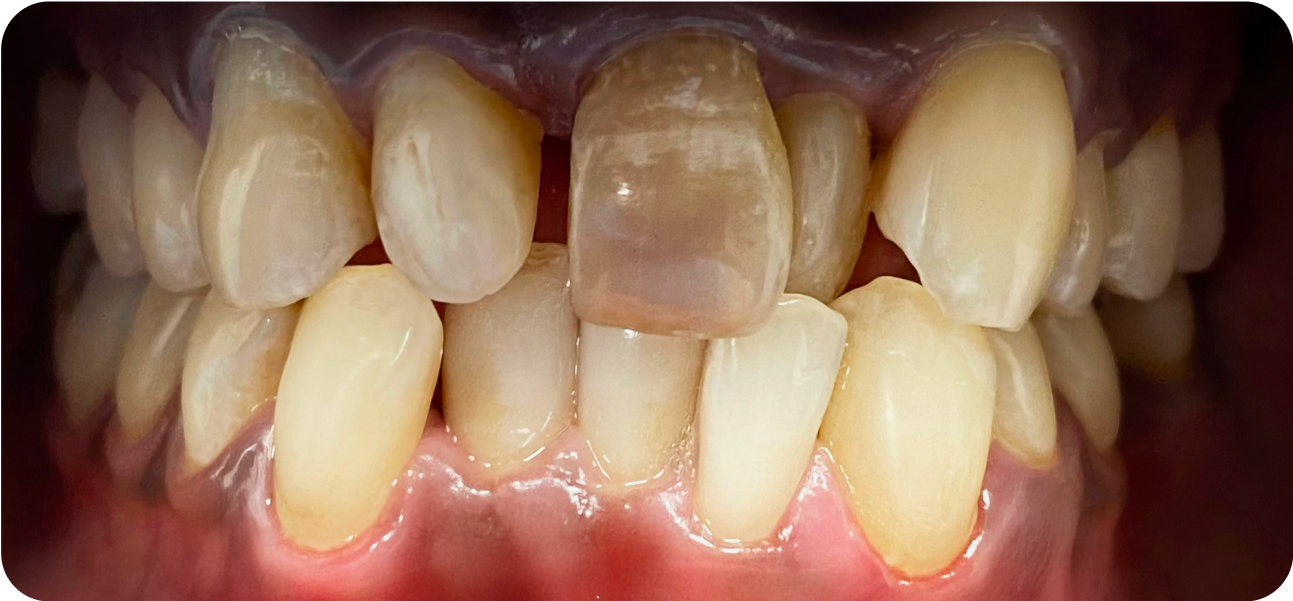
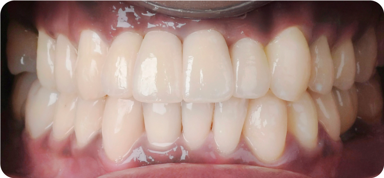
Paciento gydymas truko 4 metus, tačiau rezultatai yra stebinantys. Po pirminės konsultacijos sudarytas gydymo planas padėjo atkurti paciento sveiką šypseną ir pasitikėjimą savimi.
Atliko: Gyd. Natalija Fedotova

Pradžioje pacientui buvo išgydyti visi karieso pažeidimai bei pakeistos senos plombos.

Stebinantis rezultatas pasiektas atlikus tiesinimą Ordoline kapomis – taip atvertas tarpas 11-to danties vietoje, kurioje įsriegtas implantas.

Pabaigus tiesinimą buvo fiksuojamas sukandimas atstatant anatominę dantų formą pagal dantų techniko pavaškavimą, o tobulai šypsenai atkurti pagamintos 4 keramikos restauracijos.
Kiekviena šypsena yra išskirtinė. Visapusiškai pasirūpinsime jūsų šypsenos atkūrimu sukuriant individualų gydymo planą bei taikant kompleksines paslaugas.
Registruokitės mūsų klinikose jums patogiausiu būdu